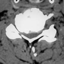
Enlargement of the spinal canal in the cervical spine

Narrowing of the spinal canal is caused by disc wear, bone attachments (so-called osteophytes), changes in the vertebral joints (spondylarthritis) and due to thickening (hypertrophy) of the so-called yellow bands (ligaments flava). The narrowing of the spinal canal can be of varying degrees and can be implied for different lengths (i.e. a different number of levels). The result of spinal canal narrowing is a pressure of the structures that are located in the spinal canal (nerve, spinal cord)which can therefore no longer exercise their function. This leads to numbness, paralysis, unsteadiness and ultimately to bladder dysfunction. These disorders can be regressed at the beginning (i.e. are reversible). When the pressure was too strong and too long, however, there is a death of nerve cells and then despite an operation, no more improvement can be achieved.
The aim of an operation is to decompress (i.e. discharge of the depressed nerves and spinal cord). This can be done in various ways, such as by surgery from the rear, i.e. the neck, with removal of compressive structures and an additional stabilization, so a deformity (e.g. kyphosis) does not occur. Due to the discharge, conditions are being created for function to be able to improve.





